📞 +91 7291933391,7291933309    ✉️ info@toothtalk.in

Menu

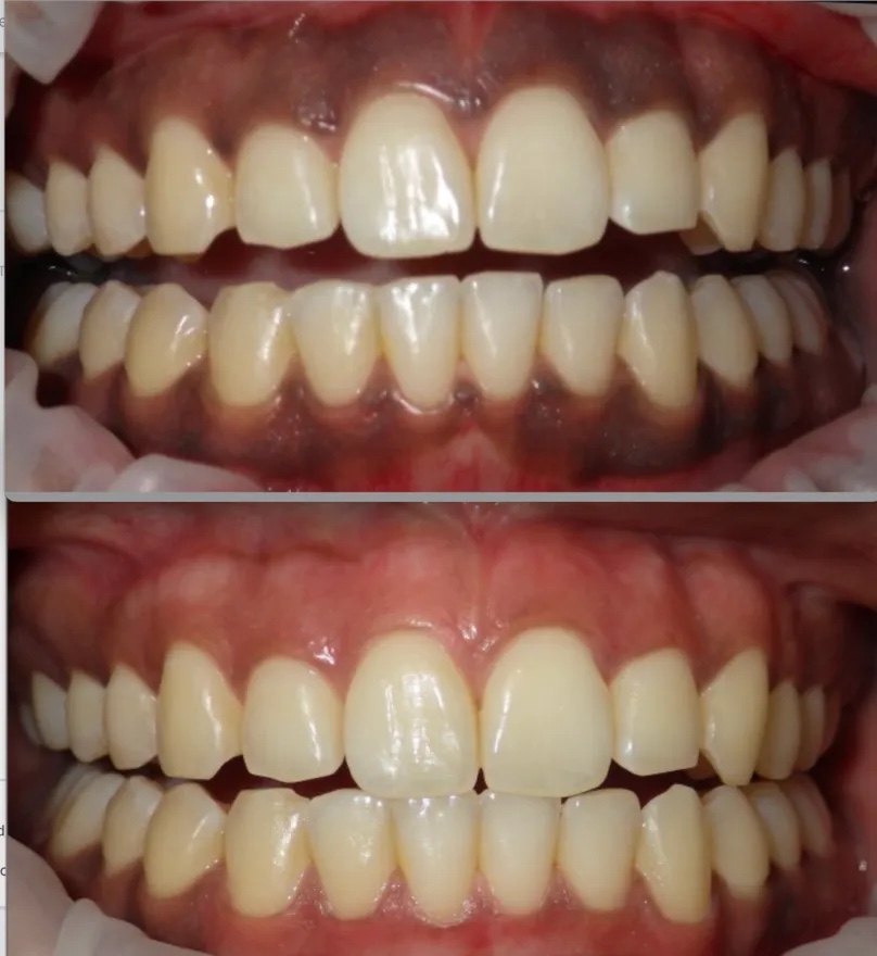
Gums Treatment

Healthy Gums, Healthy Life

Periodontal (gum) disease is a silent epidemic that can lead to tooth loss and affect your overall health, including heart disease and diabetes. At ToothTalk, we specialize in the prevention, diagnosis, and treatment of periodontal disease.

Signs of Gum Disease

  • ⚠️ Bleeding gums while brushing
  • ⚠️ Bad breath (Halitosis)
  • ⚠️ Receding gums or loose teeth
Periodontal Treatment
🔬

Laser Gum Therapy

Minimally invasive laser treatment to eliminate bacteria and stimulate tissue regeneration.

🧴

Scaling & Curettage

Deep cleaning to remove plaque and tartar from below the gum line and smooth root surfaces.

🩺

Flap Surgery / Gum Surgeries

Surgical procedures to clean roots and repair bone damage caused by gum disease.

😁

Gummy Smile Correction

Aesthetic procedures to correct excessive gum display for a balanced smile.

Laser Depigmentation

Removal of dark spots or pigmentation from gums for a healthy pink appearance.

BOOK NOW
📞